No matter how much you brush, sometimes your teeth don’t seem as bright as they should be. At Rainbow Dental, PC in Astoria and Sunnyside, New York, Nabila Mannan, DDS, offers convenient teeth whitening services that safely restore your smile’s sparkle. If you’re ready to beautify your teeth, call today or schedule an appointment online to learn more.
request an appointmentWhat causes a tooth to change color?
Teeth can become stained over time, even when you practice the best dental hygiene. A tooth has four major components: cementum, pulp, enamel, and dentin. When it comes to tooth discoloration, enamel and dentin are usually the culprits.
Enamel is the hard, clear exterior designed to protect the tooth. Beneath the enamel is dentin, the yellowish interior of the tooth that adds to its longevity. A discolored tooth is the result of either stained enamel or more pronounced yellow dentin.
Why are my teeth discolored?
Teeth become discolored for a variety of reasons, including:
Tobacco use
The tar and nicotine found in tobacco cause stains; nicotine becomes yellow when mixed with oxygen, and tar is naturally a dark color.
Food and drinks
Do you drink coffee, tea, or wine? These popular beverages have color pigments called chromogens that bond to the enamel of your teeth and cause staining.
Trauma to the tooth
A tooth can change color if it has experienced trauma because it produces more dentin in response to the injury.
Medication
Some medications, including those for high blood pressure, antihistamines, and antipsychotics, can cause discoloration. Additional medications that pass from mothers to their babies while their teeth are forming can cause them to have discolored teeth as adults.
Age
As you age, enamel grows thinner and allows the yellowish dentin underneath to show through.
Can all teeth be whitened?
If stained enamel causes your tooth discoloration, you may be a good candidate for teeth whitening. Teeth that are discolored because of dentin usually do not respond to traditional whitening procedures.
After an initial exam, cleaning, and consultation, Dr. Mannan can determine whether you’re a good candidate for teeth whitening.
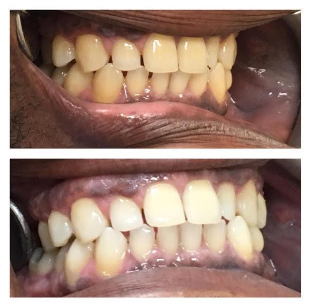
How does teeth whitening work?
To help you achieve the bright smile you’re looking for, Dr. Mannan provides safe and professional teeth whitening options.
In addition to recommending teeth whitening toothpaste for your daily dental hygiene routine, Dr. Mannan provides several bleaching options including custom-made whitening trays.
These custom trays are made from impressions of your teeth and provide the results of professional bleaching in the comfort of your own home. Custom trays work in as little as 2 weeks and produce a smile 4-8 shades whiter!
Contact Dr. Mannan at Rainbow Dental, PC or schedule your appointment online today.






